ESTETICA DENTAL

Estética dental

La estética dental reúne los tratamientos destinados a mejorar la armonía, el color, la forma y la proporción de los dientes, siempre respetando la funcionalidad y la salud bucodental.

En Clínica Mier estudiamos cada caso de forma personalizada para ofrecer soluciones adaptadas a las necesidades de cada paciente, buscando resultados naturales, equilibrados y duraderos.

Tratamientos de estética dental

Carillas de porcelana

Carillas de porcelana

Solución estética de alta precisión para corregir forma, color, tamaño o pequeñas alteraciones de posición dental.

Carillas de composite

Carillas de composite

Tratamiento conservador y estético que permite mejorar la apariencia de los dientes de forma rápida y personalizada.

Blanqueamiento dental

Blanqueamiento dental

Procedimiento orientado a aclarar el tono dental y devolver luminosidad a la sonrisa con un enfoque seguro y controlado.

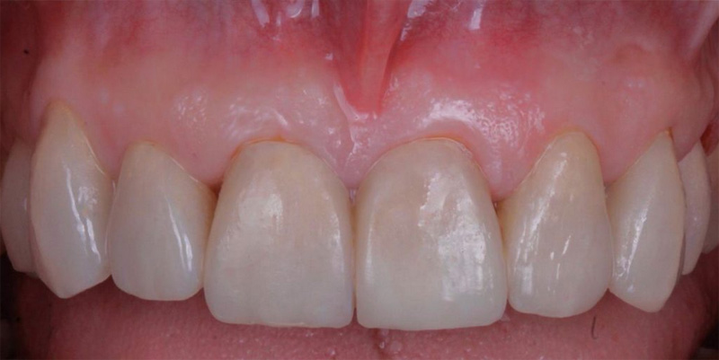
Carillas de porcelana

Las carillas de porcelana son uno de los tratamientos más avanzados en estética dental, permitiendo mejorar la forma, el color y la proporción de los dientes con resultados altamente naturales y duraderos.

Para conseguir un resultado estético óptimo, es fundamental partir siempre de una boca sana y funcional, ya que la estética es la consecuencia de un correcto equilibrio entre salud, función y armonía.

  • Resultados estéticos muy naturales.
  • Alta estabilidad y durabilidad en el tiempo.
  • Tratamiento mínimamente invasivo.
  • Solución para forma, color y desgaste dental.
Las carillas de porcelana permiten transformar la sonrisa con un resultado natural y equilibrado.
Ver información completa

Diagnóstico y planificación

Todo tratamiento comienza con un diagnóstico completo. En una primera visita recopilamos toda la información necesaria, así como tus expectativas, analizando el origen del problema y el motivo por el que se busca una solución estética.

Este proceso nos permite diseñar un tratamiento predecible, personalizado y estable en el tiempo.

¿En qué consiste el análisis y diseño de la sonrisa?

Realizamos un estudio detallado con la participación de un equipo multidisciplinar que analiza el caso de forma personalizada.

  • Estudio fotográfico.
  • Toma de modelos de la boca.
  • Montaje en articulador semiajustable.
  • Análisis de encías.
  • Estudio radiográfico (ortopantomografía y periapicales).

Nuestro equipo realiza reuniones clínicas para evaluar cada caso de forma conjunta y establecer un plan de tratamiento interdisciplinar.

¿Cómo son las carillas dentales?

Son finas láminas de porcelana de entre 0,3 mm y 1 mm de grosor que se adhieren a la superficie del diente.

La porcelana es un material altamente estético, translúcido y biocompatible, lo que permite un mimetismo perfecto con el diente natural, haciéndolas prácticamente imperceptibles.

Una vez cementadas mediante resina, la unión es tan fuerte que solo pueden retirarse rompiendo la propia carilla.

Indicaciones

Las carillas dentales permiten corregir múltiples alteraciones estéticas:

  • Problemas de color dental.
  • Alteraciones de forma o tamaño.
  • Desgaste dental por bruxismo.
  • Pequeñas malposiciones.

Gracias a los avances en materiales y técnicas, hoy en día es posible realizar tratamientos muy conservadores con resultados altamente estéticos y estables en el tiempo.

¿Cómo se realiza el tratamiento?

Cada caso se planifica de forma completamente personalizada, teniendo en cuenta las proporciones faciales, la sonrisa y las características del paciente.

Antes de comenzar, realizamos una prueba estética (mock-up) directamente en la boca, permitiendo visualizar el resultado final antes de iniciar el tratamiento.

Una vez validado el diseño, se procede a la colocación de las carillas mediante un procedimiento indoloro y mínimamente invasivo, que implica un tallado mínimo de la estructura dental.

Solicita tu valoración

Si estás pensando en mejorar tu sonrisa con carillas de porcelana, realizaremos un estudio personalizado para ofrecerte el mejor resultado posible.

Solicitar cita

Carillas de composite

Las carillas de composite son una solución estética conservadora que permite mejorar la forma, el color y pequeñas imperfecciones de los dientes de manera rápida y personalizada.

Este tratamiento es ideal para quienes presentan dientes desgastados, con manchas o pequeñas fracturas, logrando una sonrisa más armónica sin necesidad de procedimientos invasivos.

  • Tratamiento rápido, en una sola sesión.
  • Solución estética conservadora.
  • Resultados naturales y personalizados.
  • No suele requerir anestesia.
Carillas de composite
Las carillas de composite permiten mejorar la estética dental mediante un trabajo artesanal y altamente personalizado.
Ver información completa

¿Para quién están indicadas?

Las carillas de composite son una excelente opción para personas que presentan dientes deformados, con manchas, decoloración o que han perdido parte de su estructura por distintos motivos.

Este tratamiento permite mejorar notablemente el aspecto de la sonrisa, corrigiendo forma y color de manera natural.

Un tratamiento artesanal

Las carillas de composite requieren un trabajo manual y artístico por parte del especialista. Cada diente se modela individualmente para lograr una integración perfecta con el resto de la dentadura.

El objetivo es conseguir una sonrisa equilibrada, donde la diferencia entre dientes naturales y restaurados sea imperceptible.

¿Cómo se realiza el tratamiento?

La colocación de carillas de composite se realiza generalmente en una sola visita y, al tratarse de un procedimiento indoloro, en la mayoría de los casos no es necesario aplicar anestesia.

  • Limpieza y aislamiento de los dientes para garantizar una correcta adhesión.
  • Aplicación de un adhesivo específico.
  • Colocación de finas capas de resina compuesta.
  • Modelado manual del material para dar forma al diente.
  • Polimerización con luz LED para endurecer el composite.
  • Pulido final para lograr un acabado natural, brillante y suave.

Gracias a este proceso, se consigue una restauración estética duradera, funcional y totalmente adaptada a las características de cada paciente.

Solicita tu valoración

Si quieres mejorar tu sonrisa de forma rápida y conservadora, estudiaremos tu caso para ofrecerte la mejor solución con carillas de composite.

Solicitar cita

Blanqueamiento dental

El blanqueamiento dental es el tratamiento más conservador y menos invasivo para conseguir una sonrisa más blanca, luminosa y atractiva.

Forma parte de la planificación estética de la sonrisa, ya sea como tratamiento individual o como paso previo a otros tratamientos restauradores directos o indirectos.

  • Tratamiento estético conservador y no invasivo.
  • Permite aclarar el tono de los dientes de forma segura.
  • Debe realizarse siempre bajo supervisión profesional.
  • Puede combinarse con otras técnicas de estética dental.

Para realizarlo de forma segura es imprescindible que la boca se encuentre en condiciones óptimas de salud: sin caries, sin inflamación gingival y con una correcta higiene, sin sarro ni acumulaciones que puedan interferir en el tratamiento.

Por ello, antes de iniciar cualquier blanqueamiento, es fundamental realizar una revisión y un diagnóstico previo por parte del odontólogo.

Resultado de blanqueamiento dental
Ver información completa

¿El blanqueamiento dental es doloroso?

Normalmente no es doloroso. En algunos pacientes con sensibilidad extrema puede aparecer una molestia similar a la que produce un helado o una bebida muy fría.

En esos casos, puede prevenirse o controlarse modificando la pauta del tratamiento o utilizando productos específicos como colutorios o pastas dentífricas desensibilizantes. Habitualmente, esta sensibilidad es momentánea y desaparece de forma espontánea.

¿El blanqueamiento dental daña el esmalte?

No, siempre que se realice correctamente y bajo supervisión profesional. Si se utilizan productos seguros, con regulación sanitaria, y se siguen las indicaciones del dentista, el esmalte no se daña.

¿Cuánto dura el resultado?

El paso del tiempo hace que los dientes vuelvan a oscurecerse de forma natural. Tras un blanqueamiento, el tono conseguido puede mantenerse durante bastante tiempo, aunque con los años es normal que se pierda parte de ese efecto.

Para prolongar el resultado es importante seguir unas buenas medidas de mantenimiento y, en algunos casos, realizar retoques o retratamientos.

  • Evitar bebidas que manchen, como café, té o vino tinto.
  • Mantener una correcta higiene oral después de las comidas.
  • Controlar alimentos con mucho colorante.
  • Evitar fumar, ya que reduce la eficacia del tratamiento y favorece el oscurecimiento dental.

¿Cómo funcionan los agentes blanqueantes?

Los principales productos utilizados en blanqueamiento dental son el peróxido de hidrógeno y el peróxido de carbamida.

El peróxido de hidrógeno actúa como agente oxidante, formando radicales libres y moléculas reactivas de oxígeno capaces de penetrar en el esmalte y la dentina para alcanzar los pigmentos oscuros del diente.

Estos pigmentos absorben más luz y hacen que el diente se vea más oscuro. El agente blanqueante reduce su tamaño, aumenta la reflexión de la luz y da al diente un aspecto más claro.

El peróxido de carbamida, al descomponerse, libera peróxido de hidrógeno y urea. La urea favorece un pH más básico y facilita así el proceso de blanqueamiento. Además, su acción es más lenta y prolongada, lo que lo hace especialmente útil en tratamientos ambulatorios.

¿Cómo se realiza el blanqueamiento dental?

Existen distintas técnicas y la elección dependerá del caso y de la situación clínica inicial.

Blanqueamiento en clínica con luz LED

Consiste en una sesión aproximada de 45 minutos en la que se aplica un gel blanqueante de alta concentración sobre los dientes, normalmente peróxido de hidrógeno al 35%.

Como este producto puede irritar las encías, es imprescindible aislar correctamente los tejidos blandos antes de su aplicación.

El resultado es inmediato, aunque para hacerlo más estable y duradero suele combinarse con un blanqueamiento ambulatorio en casa.

Blanqueamiento dental ambulatorio

Se realiza mediante férulas a medida y peróxido de carbamida al 10% o al 16%. El paciente aplica el producto en las férulas y lo mantiene durante la noche en contacto con los dientes.

La duración suele ser de aproximadamente un mes, aunque puede variar según cada caso. Esta técnica ofrece resultados muy buenos, es más económica y suele producir muy poca sensibilidad dentinaria.

Tratamiento combinado

Combina el blanqueamiento en clínica con el tratamiento ambulatorio en casa, potenciando los resultados y mejorando su duración.

Está considerado uno de los enfoques más eficaces y con resultados más estables a largo plazo.

Blanqueamiento interno

Está indicado en dientes que se han oscurecido de forma aislada, por ejemplo tras una endodoncia o una infección interna.

En este caso, el tratamiento se realiza desde el interior del diente. Generalmente se hace en dos sesiones: primero se accede al diente, se sella el tratamiento de conductos, se coloca el agente blanqueante y se cierra temporalmente; en la siguiente cita se valora el color conseguido y se decide si repetir el proceso o realizar la restauración definitiva.

¿Todos los dientes responden igual?

No. Los resultados del blanqueamiento dental varían de una persona a otra.

En fumadores habituales o en personas que consumen con frecuencia café, té o vino tinto, el resultado puede ser menos eficaz o menos duradero. En estos casos, pueden valorarse otras alternativas estéticas como las carillas de porcelana o de composite.

Solicita tu valoración

Si quieres aclarar el tono de tu sonrisa de forma segura y personalizada, estudiaremos tu caso para recomendarte la técnica de blanqueamiento más adecuada.

Solicitar cita